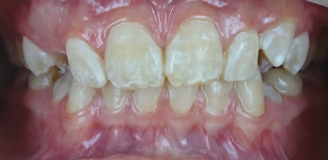
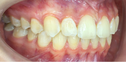
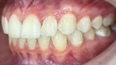
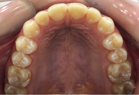
Пациент А.В. възраст 13 г.
- Пол: жена
- Лечение с алайнери Invisalign
- Продължителност на лечението: 1 година и 8 месеца
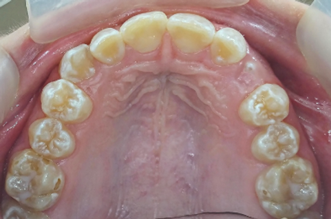
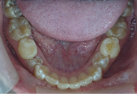
Диагноза
- Зъбен и скелетен клас II
- Струпване в горна и долна челюст
- Денивелиране на дъвкателната равнина
- Overjet
- Дълбока захапка
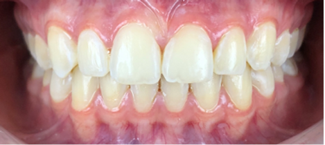
План за ортодонтско лечение
- Нивелиране на дъвкателната равнина
- Експанзия и разрешаване на струпването в горна и долна челюст
- Осигуряване на място за зъб 13
- Отстраняване на сагиталното отстояние
- Интрузия на горните и долните фронтални зъби и екструзия на горните и долните премолари и молари с цел корекция на дълбоката захапка
- Постигане на клас I зъбни съотношения










