Пациент Ж.Т. възраст 8 г.
- Пол: мъж
- Occlusoguide и фиксирана техника
- Продължителност на лечението: 6 месеца
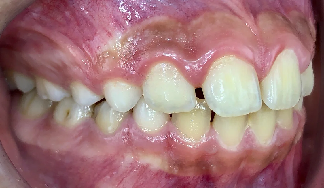
Диагноза
- Скелетен и зъбен – Клас II
- Хипердивергентен тип
- Овърджет (overjet)
- Мандибуларна ретрогнатия
- Дълбока захапка
План за ортодонтско лечение
- Медиализиране на долна челюст и постигане на Клас I
- Нивелиране кривата на SPEE
- Разрешаване на дълбоката захапка
- Подобряване на зъбните съотношения (Клас I зъбни съотношения)
- Подобряване на лицевия профил






