Лечение на дете с прозрачни алайнери Invisalign с кръстосана захапка във фронталния участък
Клиничен случай, представен от д-р Весела Джонева, специалист ортодонт с над 30 години опит като дентален лекар.
Какъв беше основният проблем?
Кръстосана захапка във фронталния участък, компресия в горна и долна челюст, струпване и липса на място за пробива на постоянните зъби
Какво лечение избрахте?
Лечение с прозрачни алайнери Invisalign, осигуряващо място за пробива на постоянните зъби, коригиране на кръстосаната захапка
Колко време продължи лечението с алайнери?
18 месеца
Ключов резултат:
Коригиране на кръстосаната захапка и превенция на развитието на тежка скелетна деформация, изразяваща се в по-напред разположена долна челюст
Данни за пациента
Възраст: 7 г.
Град: VD Dent София
Продължителност на лечението: 18 месеца.
С какви оплаквания дойде пациентът при нас?
Търсейки детски ортодонт, пациентът дойде с основни оплаквания – “Долните зъби са пред горните” Кръстосаната захапка във фронта, затруднение при отхапване, нарушена естетика.
Основна мотивация – Корекция на кръстосаната захапка.
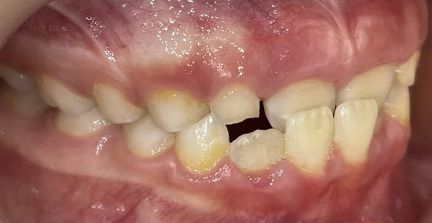
Първоначално състояние и диагностика
Клинични находки:
-
Кръстосана захапка във фронталния участък
-
Компресия на челюстите
-
Струпване и липса на място за пробива на постоянните зъби
Какви изследвания са направени:
- Интраорални и екстраорални снимки
- Ортопантомография, Телерентгенография, CBCT
- Интраорален дигитален скенер
Какви варианти обсъдихме
Ранно(в детска възраст) ортодонтско лечение с прозрачни алайнери Invisalign.
План на лечението
1. Ортодонтски етап:
Лечение с алайнери, разрешаване на кръстосана захапка, осигуряване на място за пробива на постоянните зъби, превенция на тежък скелетен проблем
2. Ретенция / пародонтална поддръжка:
Вакуум ретайнери за 6м след приключване на ортодонтското лечение
Как протече лечението стъпка по стъпка
Фаза 1: Първичен преглед
Пациентката идва на първо посещение още когато е на 6- годишна възраст, наблюдава се пробив на централни долни резци зад млечните резци. Направена е екстракция на млечни резци 81 и 71.
Фаза 2: Стартира лечение с алайнери за зъби
След една година започва лечението с алайнери. Следва интраорален скенер, анализ на рентгенографии, изработка на алайнери, поставяне на атачмънти , контролни прегледи и накрая сваляне на атачмънти.
Фаза 3: Финал и ретенция
изработка на подвижни вакуум ретайнери за период от 6 месеца.
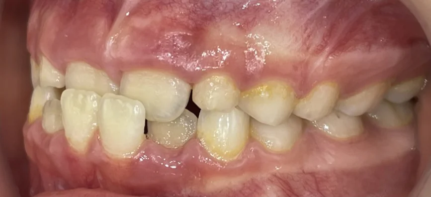
Крайни резултати
Клинични резултати:
Хармонични зъби дъги с достатъчно място за пробива на постоянните зъби.
Функционални резултати:
Осигуряване на възможност за правилен растеж и съотношение на двете челюсти.
Естетични резултати:
Коригирана е кръстосаната захапка и при усмивка вече се виждат горните фронтални зъби.
Коментар на лекуващия лекар:
Какво прави случая интересен / по-предизвикателен?
„Случаят е интересен, тъй като показва колко важно е ранното ортодонтско лечение и превенцията на по-сериозни проблеми в бъдеще.“
Какво е най-важното в протокола, което допринася за успеха?
„Кооперативността на пациента.“
Какво трябва да знаят пациентите?
„Своевременната ни намеса е ключът към успеха.“
Снимки преди и след лечението
*Клиничните снимки и отзиви са публикувани със съгласието на пациентa.
*Описаният случай е индивидуален. Резултатите може да варират. Информацията не заменя клиничен преглед.









