

Пациентка на 7 г. от София с кръстосана захапка отпред, компресия на челюстите и струпване без място за постоянни зъби. Проведено ортодонтско лечение с прозрачни алайнери Invisalign 18 месеца, коригиращо захапката и осигуряващо място за пробива.


Лечение на силно струпване и пародонтално компрометирани зъби при 51-годишна пациентка от София с прозрачни алайнери Invisalign за по-стабилна захапка, по-лесна хигиена и по-уверена усмивка под контрола на ортодонт и пародонтолог.


58-годишна жена с парафункция, изтриване на зъбите, понижена височина на захапката, струпване долу и липса на зъб 46. Провежда се 3-месечно ортодонтско лечение и протетична рехабилитация за подреждане на зъбите и по-функционална захапка.


8-годишно момче с дълбока захапка, увеличен overjet и Клас II скелетни и зъбни отношения. Провежда се 6-месечно ортодонтско лечение с Occlusoguide и фиксирана техника за медиализиране на долна челюст и подреждане на зъбите.


42-годишна жена с парафункция, изтриване на зъбите, понижена височина на захапката, струпване долу и липса на зъб 46. Провежда се комбинирано ортодонтско лечение с прозрачни алайнери Invisalign и последваща протетика за възстановяване на захапката и естетиката.


13-годишно момиче със зъбен и скелетен клас II, струпване и дълбока захапка. Провежда се 1 година и 8 месеца ортодонтско лечение с прозрачни алайнери Invisalign за подреждане на зъбите и корекция на overjet и захапката.


22-годишен мъж със зъбен и скелетен клас II, дълбока захапка, увеличен overjet и струпване на долните фронтални зъби. Провежда се едногодишно ортодонтско лечение с прозрачни алайнери Invisalign за подреждане на зъбите и по-стабилна захапка.


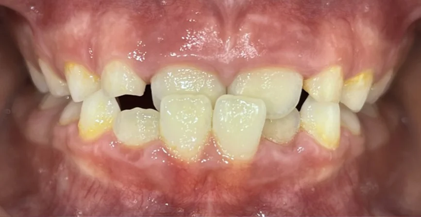
45-годишна жена с дълбока захапка, неблагоприятно разположение на горните кучешки и силно струпване в горен и долен фронтален участък. Провежда се едногодишно ортодонтско лечение с прозрачни алайнери Invisalign за подреждане на зъбите и подобряване на усмивката.
Контакти
